医院新闻
九旬老人胃“跑”进胸腔 多学科协作闯禁区成功施救
近日,北京朝阳医院普外中心疝和腹壁外科成功为一名92岁高龄的危重食管裂孔疝患者李老先生(化名)实施手术。该患者因大部分胃部“跑”进胸腔形成扭转,长期无法进食,生命垂危。在医院多学科团队的保驾护航下,普外中心疝和腹壁外科副主任杨慧琪团队勇闯手术禁区,将患者的胃成功复位,目前老人正在康复中。
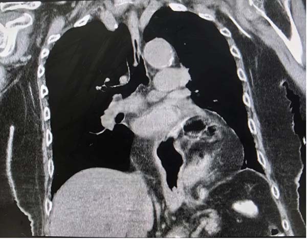
李老先生因罹患食管裂孔疝,其大部分胃部通过膈肌缺损处突入胸腔,并发生胃扭转,这不仅导致老人无法进食,身体日渐消瘦,更随时有缺血性坏死的风险,病程复杂且凶险。家属带着老人辗转多家医院,均因超高龄、手术风险过高而被告知难以收治。
抱着最后一丝希望,家人来到北京朝阳医院普外中心疝和腹壁外科,找到了杨慧琪。面对患者复杂危重的病情,杨慧琪没有退缩,当即将其安排住院。她深知,对于这位极度衰竭的老人而言,手术是唯一的生机,但麻醉、术中及术后每一个环节都充满未知的挑战。

患者相关影像
为了给老人闯过这一关,杨慧琪迅速启动了多学科会诊机制。朝阳医院组织了疝和腹壁外科、麻醉手术中心、重症医学科、呼吸与危重症医学科、心脏内科等权威专家进行联合会诊。专家团队对老人的心肺储备功能进行了全面评估,对术中可能出现的循环波动、通气障碍以及术后感染、排痰困难等风险进行了反复推演,并制定了详尽的预案。
在周密的术前准备后,手术如期进行。由杨慧琪主刀,在多学科团队的默契配合下,成功将老人的胃从胸腔内还纳回腹腔,修补了巨大的食管裂孔缺损,并重建了抗反流机制。手术过程顺利,老人生命体征平稳。

杨慧琪团队与多学科合作手术
术后,在重症医学科和疝和腹壁外科医护团队的精心照护下,老人闯过了感染、呼吸等功能恢复难关,目前恢复状况良好,已能逐步进食。从无法进食、日渐消瘦到手术成功、重获健康,患者及家属对医护团队的感激之情溢于言表。此次救治的成功,再次彰显了朝阳医院在复杂高龄患者外科领域的综合实力和多学科协作的优势。
普外中心疝和腹壁外科








京公网安备11010502033042
