医院新闻
气道支架 打通生命通道|呼吸介入团队紧急施救 重塑“呼吸之门”
新年伊始,北京朝阳医院呼吸与危重症医学中心呼吸介入组联合麻醉手术中心,上演了两场与时间赛跑的生命接力。面对两位呼吸困难、病情危急的患者,呼吸与危重症医学中心常务副主任、呼吸介入专业组组长王峰团队紧急集结,成功实施高难度的硬镜联合支气管镜引导下的“主气管支架置入术”。这不仅是对医疗技术的严峻挑战,更是一场与死神的正面交锋。最终,团队成功为两名中晚期肿瘤患者打通被肿瘤“封锁”的气道,重塑“呼吸之门”,为患者带来畅快呼吸的新希望。
病例1:巨大肿瘤压迫气管,紧急支架力挽狂澜
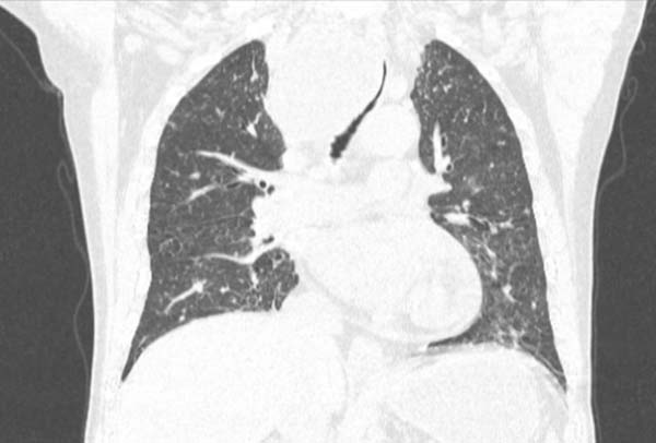
患者刘某,既往有甲状腺癌病史,因上纵隔肿瘤引发喘憋症状已达3月有余。随着病情进展,患者喘息明显加重,甚至无法平卧。王峰为患者完善CT检查后发现,其上纵隔内巨大肿瘤压迫气管中段,狭窄程度超过80%,形成一道足以致命的“封锁线”。经多学科诊疗(MDT)讨论,并与患者及家属充分沟通后,团队决定迎难而上,采用硬镜联合支气管镜引导的方式,为患者置入“金属覆膜支架”以解除气道狭窄。
这是一场争分夺秒的生命突围战。术中,呼吸介入团队与麻醉手术中心团队默契配合,在适度镇静麻醉下,凭借娴熟的气管镜操作技术和丰富的临床经验,精准完成放置导丝、瞄准定位、释放支架、调整位置等一系列高难度操作,全程行云流水,充分展现出团队处理复杂气道疾病时的沉着冷静与专业自信。术后次日,患者喘息、胸闷等症状即得到明显缓解。

CT图显巨大肿瘤压迫气管

术中气管镜操作
病例2:食管肿瘤侵犯气管,急诊手术打通生命线
患者张某,因喘息1周入院。1周多前,患者已被明确诊断为食管恶性肿瘤。入院完善CT检查后,结果令人揪心:主气管明显狭窄,且食管肿瘤已压迫并侵犯气管。这是一个极度危险的信号——对于大气道严重狭窄的患者而言,随时面临窒息风险,每一秒的延误都可能意味着生命的终结。
面对这一紧急情况,王峰团队没有丝毫犹豫,立即启动急诊手术预案。这是一场与死神的赛跑,更是一次名副其实的“救急”行动。术中气管镜探查结果,进一步证实了病情的凶险:气管III区及IV区可见新生物,同时合并外压性狭窄。情况危急,刻不容缓!呼吸介入团队与麻醉手术中心医师紧密配合、当机立断,先以球囊扩张缓解气管狭窄,随即迅速置入直筒支架。这枚支架,如同一道坚固的“生命防线”,在千钧一发之际,瞬间打通患者几近窒息的呼吸通道,将其从死亡边缘拉了回来。
术后次日,患者气短症状明显缓解。这场手术的成功,不仅是医疗技术的胜利,更是团队“救急救难”使命担当的最好诠释。

CT、气管镜探查图显食管肿瘤压迫并侵犯气管

术中呼吸介入团队与麻醉科医生协作置入支架
团结协作 守护希望
这两次成功的紧急救治,充分彰显了北京朝阳医院呼吸与危重症医学中心呼吸介入团队“救急救难”的担当与实力。团队不仅掌握国际领先的硬镜联合介入技术,更锻造出一支召之即来、来之能战、战之必胜的“急救铁军”。无论日常诊疗的攻坚克难,还是突发状况的紧急驰援,呼吸介入团队始终坚守“生命至上”的原则,用专业与热忱,为每一位患者的生命健康保驾护航。
未来,呼吸与危重症医学中心将继续精研医术、勇攀技术高峰,以更优质、精准、安全的诊疗技术和更有温度的医疗服务,为更多呼吸疾病患者带来福音,守护他们的每一次畅快呼吸。
呼吸与危重症医学中心








京公网安备11010502033042
